.webp)
Before & Afters
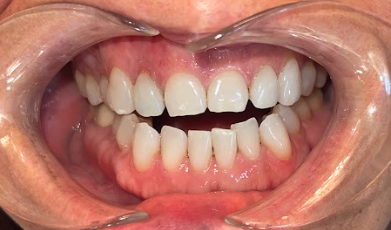
Before & Afters
See the smile transformations made possible at Sea Smiles Dental
There’s nothing better than seeing a patient step out of our office with greater confidence and a healthier smile. At Sea Smiles Dental, we believe in personalized, comprehensive care, and it shows in the results. Take a look through real before and after photos to see how we’ve helped patients achieve brighter smiles, stronger teeth, and renewed trust in their dental care.
Whether you're interested in full arch restorations, crowns, or a simple extraction that finally brings relief, each smile tells a story, and yours could be next.
before

after

before
.png)
after
.png)
before

after

